Uzman içeriklerle tedavi sürecinize ışık tutun
Klinik ekibimizin hazırladığı yazılarla ortopedi ve travmatoloji alanındaki en güncel gelişmeleri takip edin. Tedavi süreçleri, rehabilitasyon önerileri ve sağlıklı yaşam tüyoları düzenli olarak güncellenir.
Uzmanlarımızdan güncel bilgiler
Tedavi süreçlerini, ameliyat sonrası iyileşme adımlarını ve sağlıklı yaşam önerilerini anlaşılır dille sunuyoruz.
10.11.2025 02:54 | Travma ve Kırık Tedavisi
Menisküs Yırtığı: Belirtiler, Tanı ve Kişiye Özel Tedavi Yaklaşımı
Menisküs yırtığı; boşalma/kilitlenme hissi ve eforla artan ağrıya yol açar. Muayene ve MR ile yırtığın tipi belirlenir. Uygun hastada doku koruyucu artroskopik onarım, diğerlerinde parsiyel menisektomi ve yapılandırılmış rehabilitasyonla günlük yaşama ve spora güvenli dönüş hedeflenir.
Devamını Oku
9.11.2025 23:29 | Spor Yaralanmaları
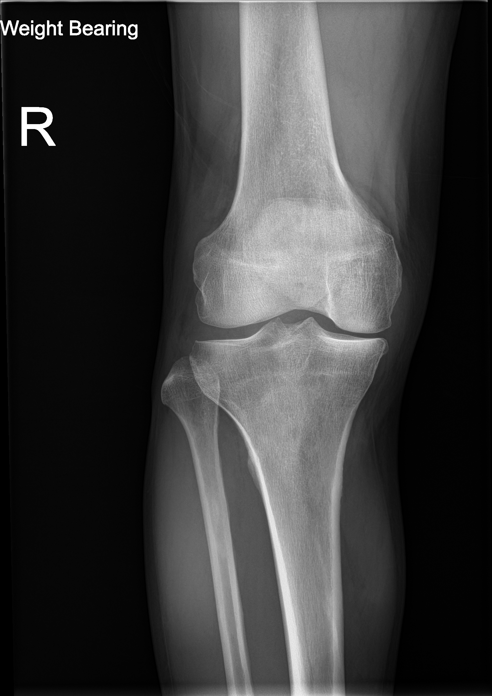
Diz kireçlenmesi
Diz kireçlenmesi; ağrı, tutukluk ve hareket kısıtlılığıyla seyreden, yaş, kilo ve eklem yüklenmeleriyle ilişkili bir hastalıktır. Muayene ve ağırlık taşıyan grafilerle tanı netleştirilir. Kilo kontrolü, egzersiz, ilaç ve eklem içi uygulamalar ilk basamaktır; seçilmiş hastalarda osteotomi, kısmi ya da total diz protezi ile kalıcı fonksiyon kazanımı hedeflenir.
Devamını Oku
9.11.2025 23:26 | Spor Yaralanmaları
Ameliyat Sonrası Hızlı İyileşme İçin 5 Altın Kural
Ameliyat sonrası iyileşme; doğru ilaç kullanımı, kontrollü hareket, beslenme, ağrı yönetimi ve sabır gerektirir. Planı ne kadar düzenli uygularsanız, iyileşme o kadar hızlı ve güvenli olur.
Devamını Oku
7.11.2025 19:47 | Yaşam Kalitesi
Ameliyat Sonrası Hızlı İyileşme İçin 5 Altın Kural
Cerrahi operasyon sonrası normal yaşantınıza dönmenizi hızlandıracak beslenme, egzersiz ve dinlenme önerileri.
Devamını Oku
4.11.2025 19:47 | Spor Yaralanmaları
Menisküs Yırtığı Belirtileri ve Tedavi Yöntemleri
Dizde kilitlenme, ağrı ve şişlik ile kendini gösteren menisküs yırtıklarının tanısı ve modern tedavi yaklaşımları.
Devamını Oku
30.10.2025 19:47 | Protez Cerrahisi
Robotik Diz Protezi Ameliyatı Nedir? Avantajları Nelerdir?
Robotik cerrahinin diz protezi ameliyatlarındaki yeri, nasıl uygulandığı ve klasik yöntemlere göre avantajları...
Devamını OkuAmeliyat sonrası rehabilitasyonda dikkat edilmesi gereken 5 adım
Rehabilitasyon ekibimizin hazırladığı bu rehberde ameliyat sonrası ilk 12 haftada yapmanız gerekenler, ağrı kontrolü ve egzersiz planının nasıl uygulanması gerektiğini bulabilirsiniz.
Makaleyi Oku“Her tedavi planının sürdürülebilir olması için hastalarımızın yaşam tarzı, çalışma koşulları ve spor alışkanlıklarını göz önünde bulunduruyoruz. Blog yazılarımızda bu prensipleri paylaşarak karar alma sürecinizi kolaylaştırmayı amaçlıyoruz.”